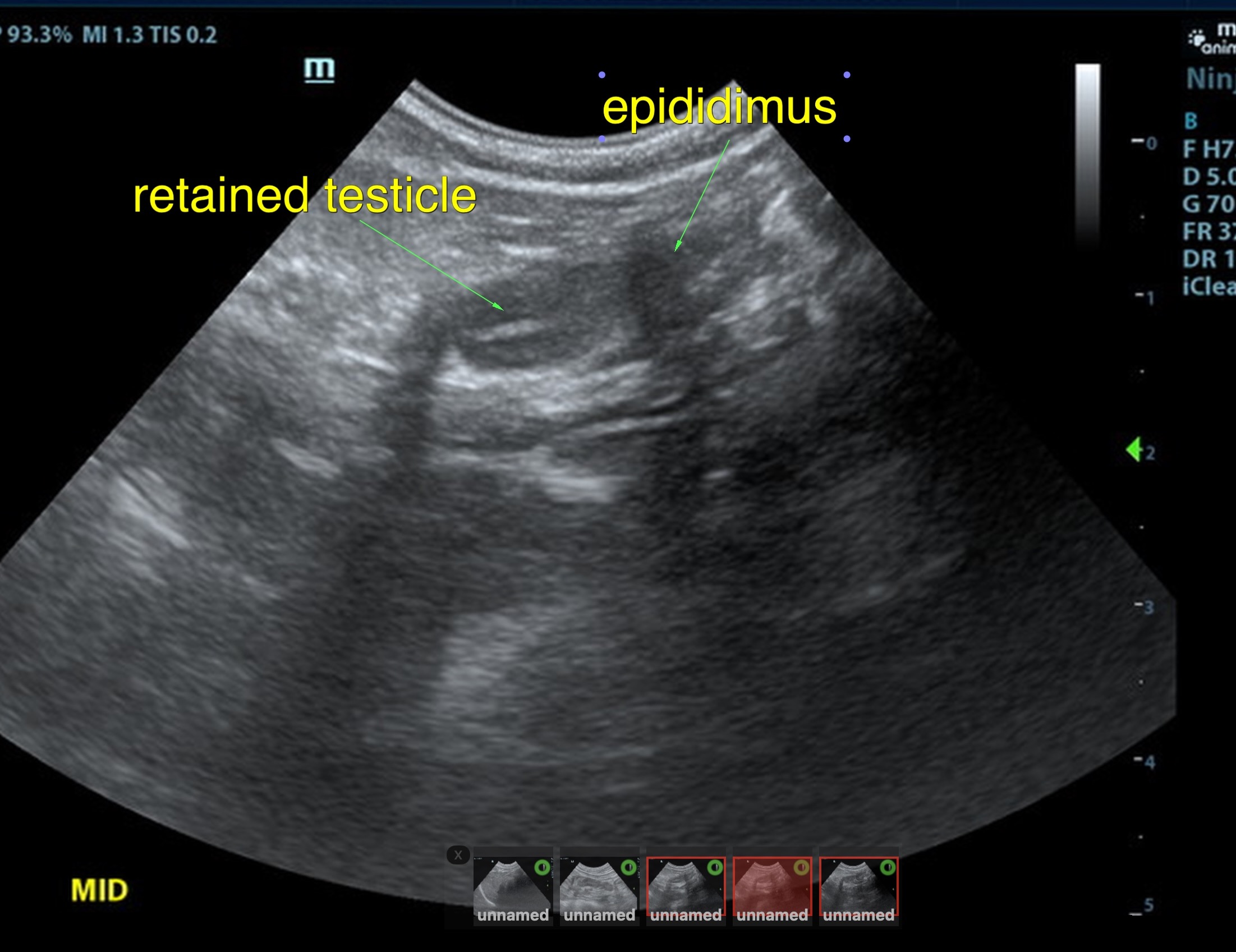
History of known unilateral cryptorchid
The retained testicle in this patient was midline subcutaneous inginal position, measuring approximately 1.6 cm in length and at a depth of 0.67 cm, approximately 2.0cm caudal from the cystourethral junction of the bladder. The left descended testicle was normal, measuring 1.8 cm
The mesenteric lymph nodes measured 1.5 cm x 0.5 cm. These are reactive or juvenile.
retained right testicle midline subcutaneous inguinal position
Orchiectomy is recommended with right inguinal incision for the retained testicle
unilateral cryptorchid