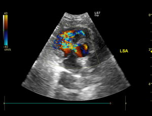
1 yr BSH, 4/6 murmur. Scan- normal LV, some RVH- annular FW and apically creating a DCRV effect (likely the source of the murmur). CFD- alias. in the RV extending apically. Unable to get good view of potential VSD. RSA- CWD produced a 5.4m/s velocity- poor angle for DCRV but good for a VSD. Slightly obliqued LSA may show VSD but may be the result of some color bleeding(hard to repeat). LPSLA aorta to Ruar/RA may show VSD near the last of the clip b/w LV and AO into RV? Suspect a restrictive VSD based on exam and echo. Recheck with better sedation scheduled. Thoughts? Thanks!!


Comments
Looks like a solid vsd to me but compensated. They can do well with these long term. Only slight rt vent thickening compensatory. I say let him be a cat and recheck in 6 mo:)