Rule out PSS

Sonopath Forum

–  5 year old very small MN Yorkie presented for hematuria seen by my associate

– single, spikey urolith seen on x-ray (so likely not ammonium biurate, at least 100%) and seen on ultrasound

– pre bile acids  92.8 umol/L N<10, post 83 N<20; biochem and CBC otherwise wnl

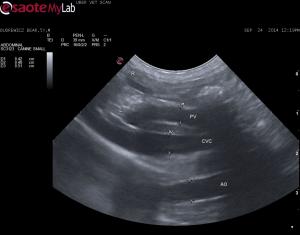
– u/s scan showed normal liver and kidney size, no renoliths, no other concerns

– looks like the PV:Ao ratio is normal at the PH and no anomolous blood vessels seen entering the CVC, at least from what I could see when scanning through the PV and CVC

–  5 year old very small MN Yorkie presented for hematuria seen by my associate

– single, spikey urolith seen on x-ray (so likely not ammonium biurate, at least 100%) and seen on ultrasound

– pre bile acids  92.8 umol/L N<10, post 83 N<20; biochem and CBC otherwise wnl

– u/s scan showed normal liver and kidney size, no renoliths, no other concerns

– looks like the PV:Ao ratio is normal at the PH and no anomolous blood vessels seen entering the CVC, at least from what I could see when scanning through the PV and CVC

– pet taken to surgery for urolith removal and liver biopsy (histopath pending)

So, I think extrahepatic PSS is ruled out but I don’t see many of these so I have a couple of questions:

1. in the still and the clips, have I labelled the right and left branches of the PV properly?

2. my associate did an internal med consult when I was away and it was recommended to do a liver biopsy in order to differentiate a PSS vs primary portal vein hypoplasia – wouldn’t the histopath be the same?

 

 

Comments

EL

 
 
Great shot of the pv with

 
 

Great shot of the pv with the pancreatoduodenal vein coming in on top. With this solid PV volume at the branching you can rule out ehpss but you have to get th ebranches in like you did otherwise you can miss a gastrocaval or gastroazygios shunt that branch off toward th epylorus right before the pv branches into the right and left branches in the liver. The portal vein hypoplasia is likely the dx and yorkies are the poster child for this. Its a medical tx and needs parenhcymal bx to confirm. Wihtout getting specific because Im not a pathologist you will have parenchymal microsopic shunts in PVH and lack of development of portal triads and sinusoids on ehpss but you can have both as well. Whe  both occurs then ehpss correction often becomes problematic with portal hypertension developing.

Acute phase disease will send this guy into clinical liver failure so strict diet.

 
EL

 
 
Great shot of the pv with

 
 

Great shot of the pv with the pancreatoduodenal vein coming in on top. With this solid PV volume at the branching you can rule out ehpss but you have to get th ebranches in like you did otherwise you can miss a gastrocaval or gastroazygios shunt that branch off toward th epylorus right before the pv branches into the right and left branches in the liver. The portal vein hypoplasia is likely the dx and yorkies are the poster child for this. Its a medical tx and needs parenhcymal bx to confirm. Wihtout getting specific because Im not a pathologist you will have parenchymal microsopic shunts in PVH and lack of development of portal triads and sinusoids on ehpss but you can have both as well. Whe  both occurs then ehpss correction often becomes problematic with portal hypertension developing.

Acute phase disease will send this guy into clinical liver failure so strict diet.

 
dcasey

Has excellent description of
Has excellent description of histopath on PSS and MVD
Doug

dcasey

Has excellent description of
Has excellent description of histopath on PSS and MVD
Doug

Pankatz

Liver histopath ended up
Liver histopath ended up normal in this case

Pankatz

Liver histopath ended up
Liver histopath ended up normal in this case

EL

Thanks for that info then

Thanks for that info then intestinal dysbiosis as cause of BA elevation would be the next rule out which yorkies are good at as well.

EL

Thanks for that info then

Thanks for that info then intestinal dysbiosis as cause of BA elevation would be the next rule out which yorkies are good at as well.

Skip to content