This is a case that I have heard differing opinions on, so I am interested to see what others think:
– 7 year old FS Great Dane wt 65kg
– recently diagnosed with a new heart murmur grade 3/6 systolic; no symptoms of heart disease
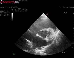
– echo showed normal LV parameters (no eccentic hypertrophy documented) however EPSS is elevated and FS% decreased
– MR jet slightly eccentric toward IVS on L apical 5-chamber view; no LAE
– subjectively, I don’t think the heart looks like it is contracting well
– ECG not run
This is a case that I have heard differing opinions on, so I am interested to see what others think:
– 7 year old FS Great Dane wt 65kg
– recently diagnosed with a new heart murmur grade 3/6 systolic; no symptoms of heart disease
– echo showed normal LV parameters (no eccentic hypertrophy documented) however EPSS is elevated and FS% decreased
– MR jet slightly eccentric toward IVS on L apical 5-chamber view; no LAE
– subjectively, I don’t think the heart looks like it is contracting well
– ECG not run
I am concerend about Stage B1 DCM, esp. being a predisposed breed but also wondered if this pet may have concurrent CVD from the eccentric MR jet. Anyhow, medicate or not at this stage?



Comments
Innapropriate wall thickening
Innapropriate wall thickening with dilated L ventricular chamber elevated EPSS and poor FS to me indicates cardiomyopathy. Consider a mitral inflow study to get some sort of idea of L atrial pressure. I am suprised the L atrium is not more dilated.
I see no downside to starting Pimopendan- but I am not a cardiologist.
The mitral inflows were wnl
The mitral inflows were wnl and the LV chamber and walls were also wnl when using the Cornell reference ranges and the GD breed specific tables but the FS% and EPSS sure points toward occult DCM to me.
I would first ensure no
I would first ensure no systemic disease is present especially hyothyroidism which will decrease the fs% +/- 5 %. vegetative MV in non valve breed consider endocarditis low grade chronic rickettsial??… doxycycline trial? if not failing i have a tough time prescribing pimo but that may change in a week.
Just to clarify, Eric, even
Just to clarify, Eric, even though the myocardium is not contracting well, it is not considered failure because there is no left atrial (or any other chamber) enlargement?
Correct technically you have
Correct technically you have to have wet lung from a traditional standpoint of CHF but that is gettign redefined under many cardio discussions. But at least LA enlargement has to be present for CHF to be considered. It may be around the corner but wasn’t present when the US was done.