6 yo MN Maltese with chronic diarrhea, and PU (on lasix).
Advanced DCM managed by cardiologist since January. On Vetmedin, Enalapril, Lasix, Spironolactone.
Diarrhea started with L carnitine supplements. Stopped once off carnitine. Owner restarted them, diarrhea returned, owner stopped carnitine, diarrhea is persisting.
Chem: High SDMA (16>14), normal Alb, glu, BUN, etc… Normal cbc/lytes/fecal.
GI panel: High TLI.
Abdo u/s for diarrhea.
6 yo MN Maltese with chronic diarrhea, and PU (on lasix).
Advanced DCM managed by cardiologist since January. On Vetmedin, Enalapril, Lasix, Spironolactone.
Diarrhea started with L carnitine supplements. Stopped once off carnitine. Owner restarted them, diarrhea returned, owner stopped carnitine, diarrhea is persisting.
Chem: High SDMA (16>14), normal Alb, glu, BUN, etc… Normal cbc/lytes/fecal.
GI panel: High TLI.
Abdo u/s for diarrhea.
5mm stone/sand in bladder, kidneys normal size (3cm), small right adrenal 2.8mm (artifact vs atypical Addison), intestines: speckles in mucosa (IBD, food sensitivity or incidental), normal LN, normal pancreas, no ascites.
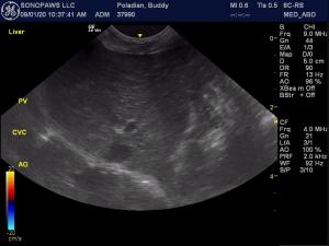
Liver: normal size, but the PV looks smaller than CVC and Aorta at the hilus. Torb given for the scan. No dilated hepatic veins.
I realized the PV was small once I was home! I did not do a shunt hunt bc the liver had a good size…
Can we blame the large CVC/aorta on the DCM? Or is my angle off?
The portal vein looks fine on the view with the pylorus.
(I have the shunt hunt lecture. However, I did not follow the CVC to find any turbulent flow this time…I will go back and take more pictures if you think it’s indicated)
Thanks for your input.
Julie



Comments
In your first pv video with
In your first pv video with the cvc you are imaging a branch of the pv. To compare pv cvc ratio properly you have to have them paralell to each other see images attached here. Also can’t use dexdom or similar as that dilated the cvc. Also heavy manual pressure will collapse veins so have to get into the portal hilus then let up on pressure. Your images all appear normal to me with regards to the angle and approach. SDEP 13 and SDEP 14, 1 second into the C-loop puts you in perfect shunt hunt pv cvc ratio position.
Take a look at our on-line courses and shunt hunt 1 and 2 and sdep abdomen unleashed has a shunt hunt module in it describing the approaches as well as thyroid, crypt orchid and other approaches. Hope this helps.
https://www.shopsonopath.com/online-ultrasound-courses
It does help a lot! Thank you
It does help a lot! Thank you for your input and the extra resources.
Julie