– ADR 13 yr MN DSH
– bloodwork elevated GGT and eosinophilia, other parameters wnl
– liver diffusely abnormal on u/s with cystic regions and a variety of hyperechoic nodules; CBD distended at 0.46cm
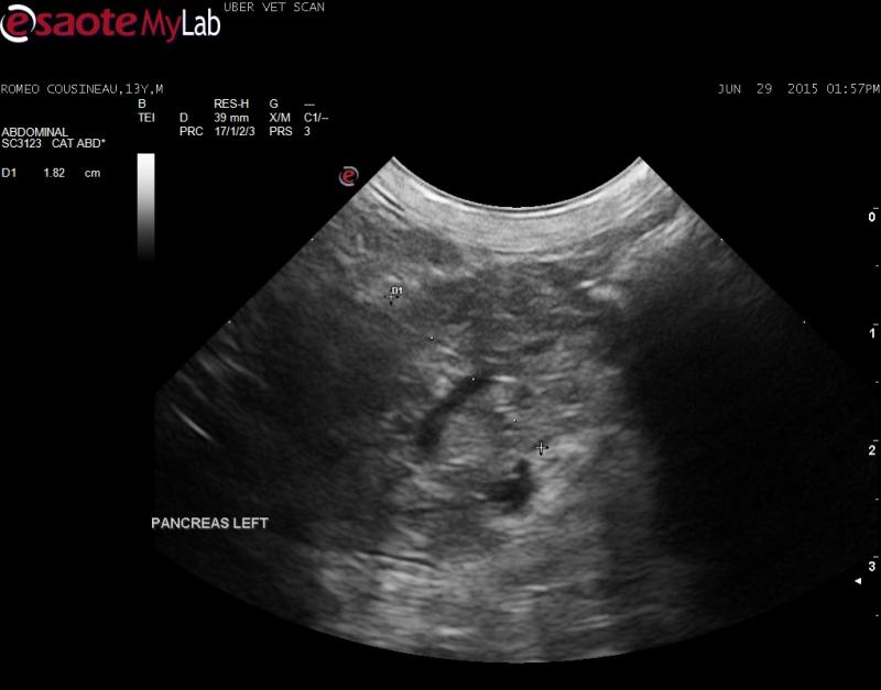
– left pancreatic limb is enlarged and mottled
– SI wall diameter increased with thickened muscularis; enlarged jejunal LN’s
– liver biopsy and FNA of LN’s recommended and ideally SI biopsy – not sure if this is going to happen in this patient
– ADR 13 yr MN DSH
– bloodwork elevated GGT and eosinophilia, other parameters wnl
– liver diffusely abnormal on u/s with cystic regions and a variety of hyperechoic nodules; CBD distended at 0.46cm
– left pancreatic limb is enlarged and mottled
– SI wall diameter increased with thickened muscularis; enlarged jejunal LN’s
– liver biopsy and FNA of LN’s recommended and ideally SI biopsy – not sure if this is going to happen in this patient
To me these findings are strongly suggestive of neoplasia – lymphoma, hepatocellular carcinoma with possible pancreatitis or pancreatic carcinoma. SI lesions: IBD vs lymphoma Any other thoughts with these multiple lesions?



Comments
There are a lot of them in th
There are a lot of them in th eliver but they are more consistent with biliary adenomas…that can transform into adenoca so worth watching, The pancreas has a straight panc duct wihtout disrup[tion or deviation which suggests chronic pancreatitis or hyperplasia nad not carcinoma. The LN is ovoid and echogenic not distroteed which suggests inflammatory. Lots to talk about but I am giving benefit of the doubt on this guy. Screening fna panc ln and liver nodules to enhance the suggestive for “benign.”
Great! Sometimes hard to put
Great! Sometimes hard to put the whole picture together when there are mutiple lesions. I am hoping that they will allow for biopsy. This cat has been unwell for sometime. I will need to read about biliary adenomas!