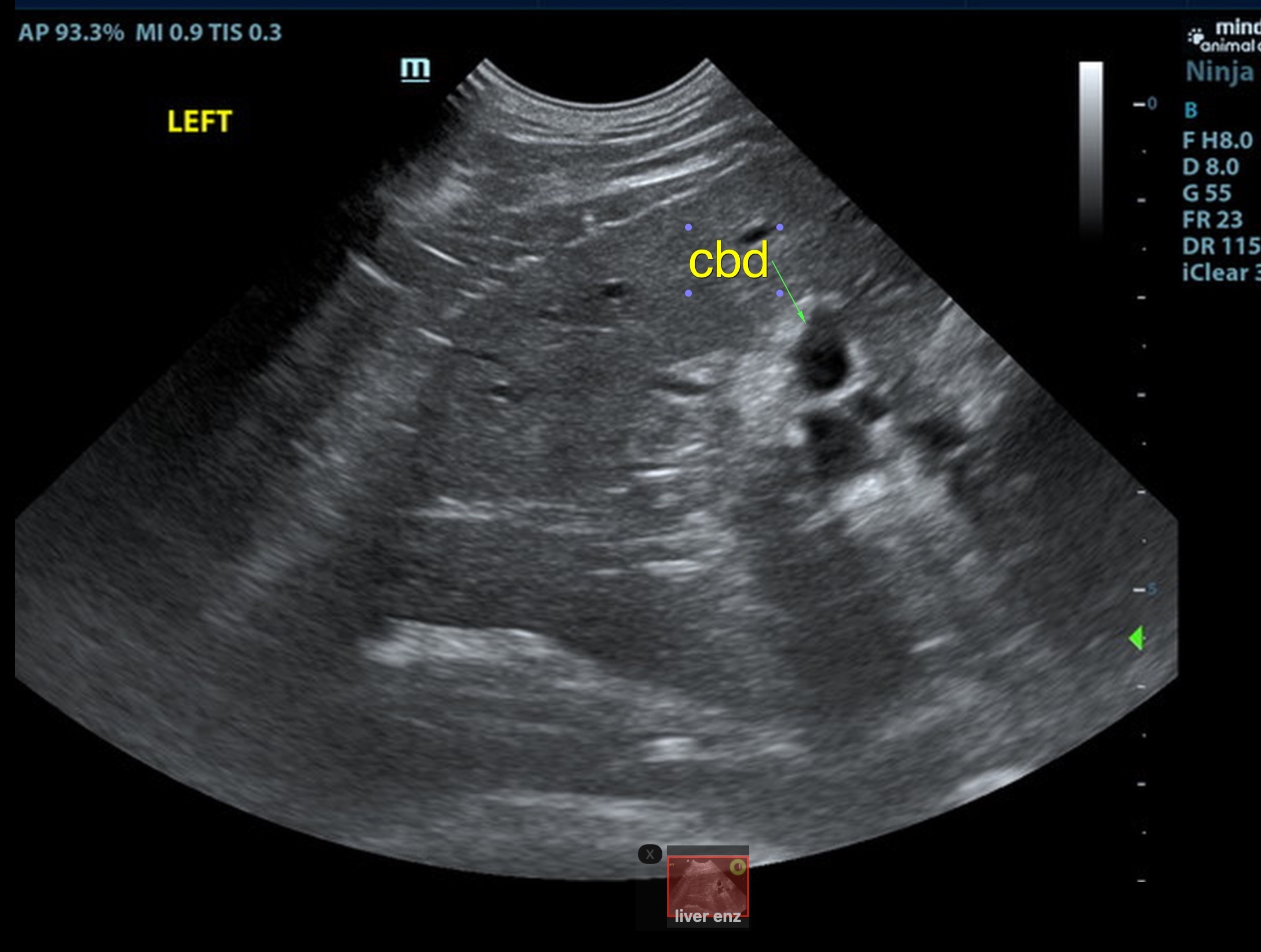
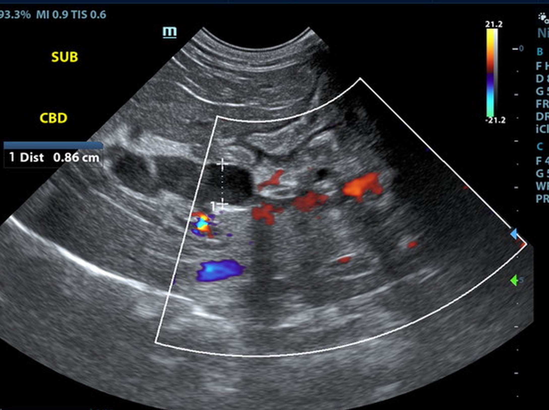
Local biliary duct dilation noted with post hepatic obstruction. Gallbladder was turgid. The common bile duct (CBD) was dilated with echogenic debris or possible tissue proliferation. The CBD measred 0.86 cm. An overt mass was noted at the common bile duct termination, measuring 2.0 cm. Target-type nodules noted in the liver.
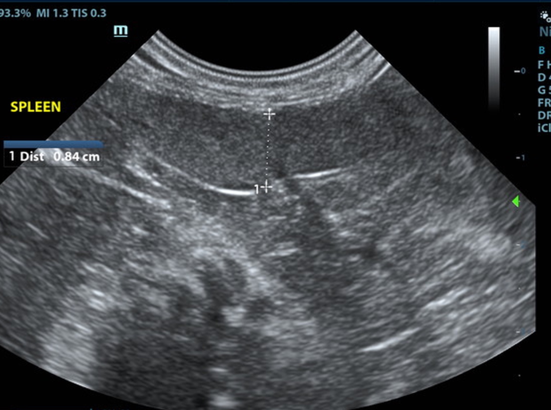
The spleen was mildly enlarged and folded upon itself caudally. The splenic parenchma was uniform. The spleen measured 0.84 cm.
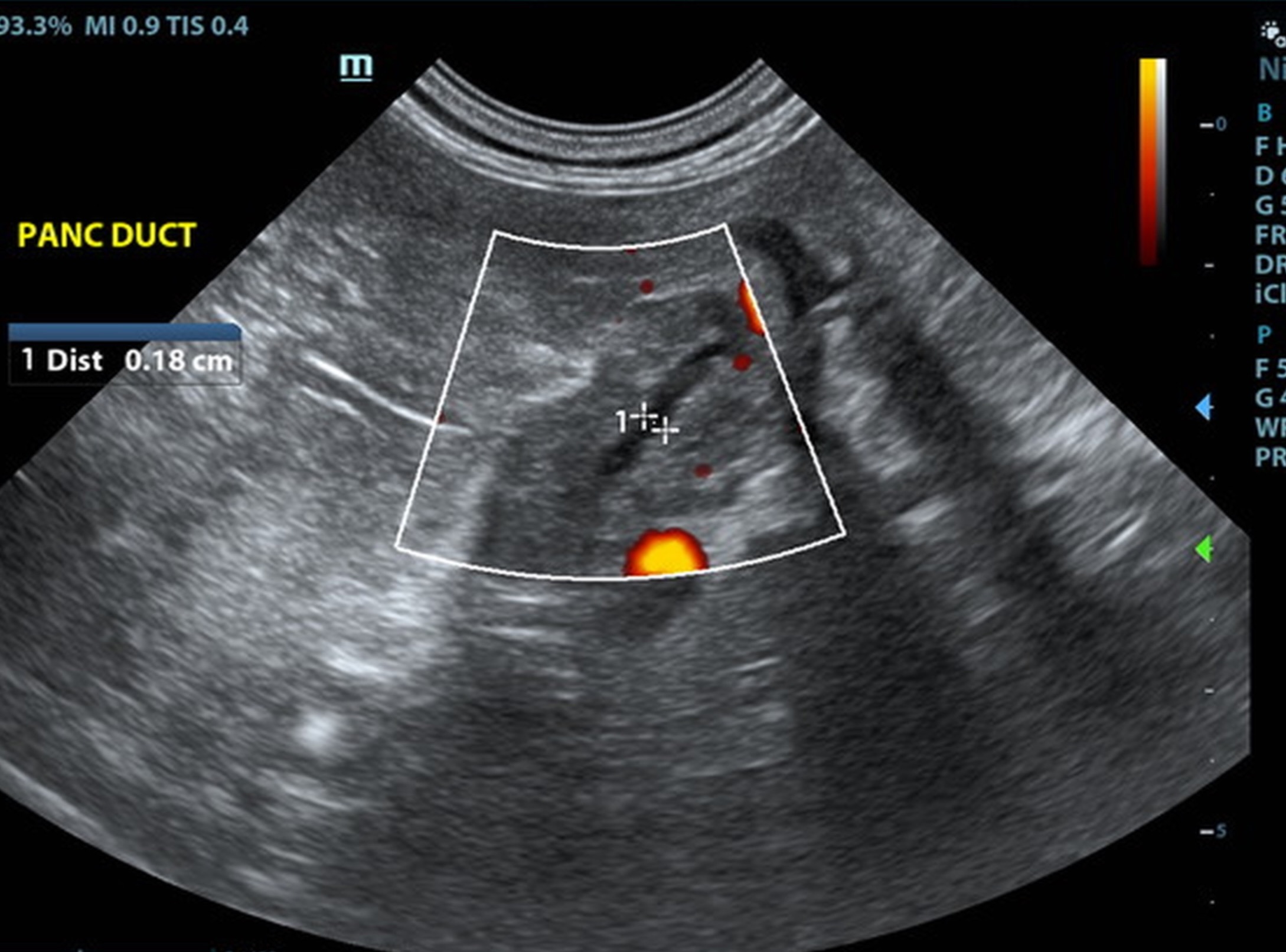
The pancreas revealed coarse architectre and dilated pancreated duct. Coarse, irregular contour noted. The left limb of th pancreas was irregular with increased pericapsular inflammator pattern.
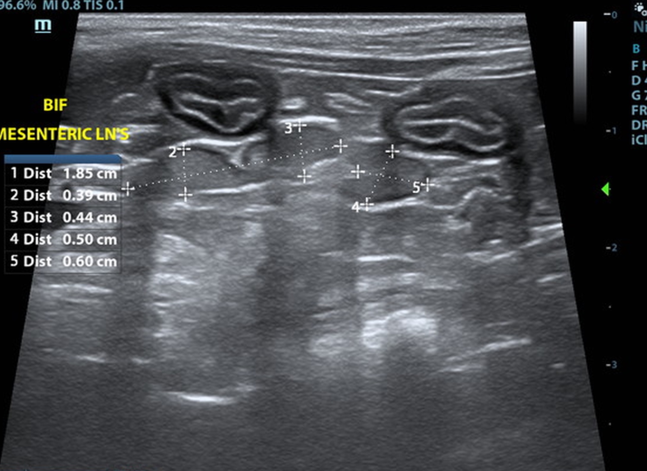
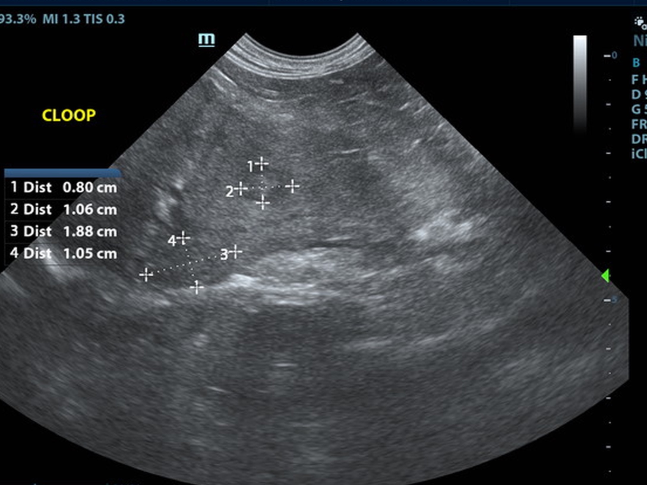
Mild uniform prominence of the gastric mucosa as well as areas of “ropey” small intestinal wall. Hypertrophied mscularis with inverted normal ratio (1:3). Submucosa slightly irregular, thickened and hyperechoic suggestive of low grade chronic inflammation. Probable IBD with low possibility of early neoplastic event such as lymphoma or less likely dry form FIP. Consider full thickness biopsies via open lapartotomy. Reactive mesenteric lymph nodes measured 1.85 x 0.44.